切片扫描

切片扫描

内容详情 在线咨询

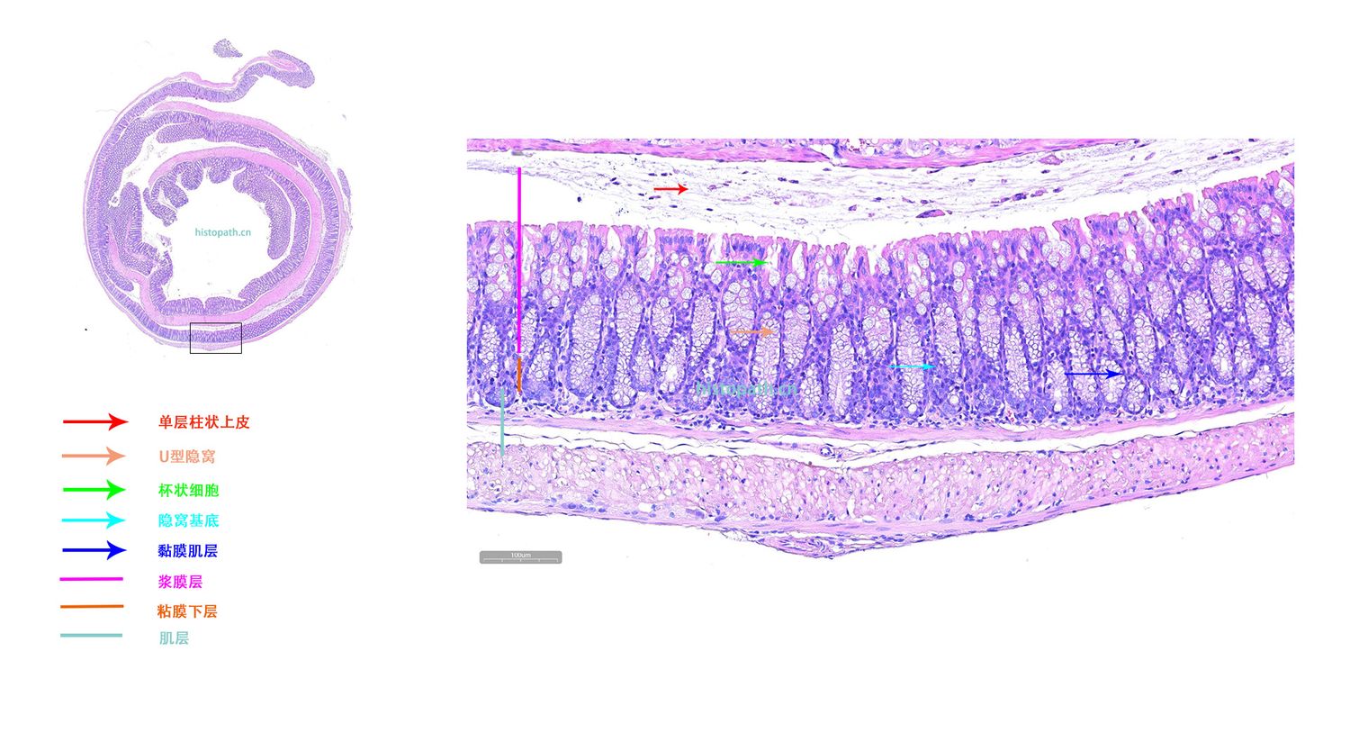
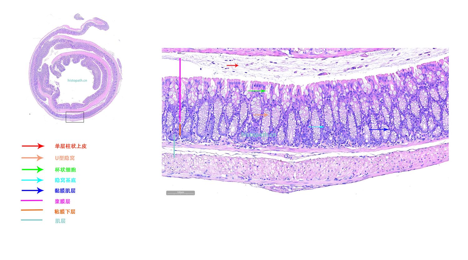
切片扫描运用全景扫描系统可以获得完全数字化、高辩率的样本图像,可以根据需要选择任意大小的区域放大适合的倍数进行图像观察和分析。

全景扫描1.jpg


* 订单数量:

必须是数字

* 客户姓名:

不能为空

* 电子邮箱:

E-mail格式不对

* 手机:

手机号格式不对

* 详细地址:

不能为空

* 客户留言:

不能为空

服务热线

15157931817

微信服务号