特殊染色

天狼星红染色

内容详情 在线咨询

天狼星红染色原理:

      胶原纤维(Collagen Fiber)是结缔组织中分布最广含量最多的一种纤维,广泛分布于各种脏器,其中Ⅰ型胶原纤维主要是骨、皮肤、肌腱;Ⅱ型胶原纤维主要是软骨胶原;Ⅲ型胶原纤维主要在胚胎组织、成人血管、胃肠道;Ⅳ型胶原纤维主要在基膜中。 天狼星红与其衬染液都是强酸性染料,易与胶原分子中的碱性基团结合,吸附牢固。偏振光镜检查,胶原纤维有正的单轴双折射光的属性,与天狼星红复合染色液结合后,可增强双折射,提高分辨率,从而区分两型胶原纤维。

染色步骤:

        (1)脱蜡至水:二甲苯Ⅰ5分钟,二甲苯Ⅱ5分钟,二甲苯Ⅲ5分钟,无水乙醇1分钟,95%乙醇1分钟,75%乙醇1分钟,蒸馏水洗5分钟。

        (2)滴加铁苏木素染色液5-10分钟,蒸馏水洗10-20秒洗去多余染色液。

        (3)自来水洗5分钟。

        (4)天狼星红染色液滴染15-30分钟。

        (5)流水稍微冲洗,去除切片表面染液。

        (6)脱水透明:75%乙醇1分钟,95%乙醇1分钟,无水乙醇1分钟,二甲苯3次,每次1-2分钟,中性树胶封固。

染色结果:

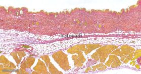
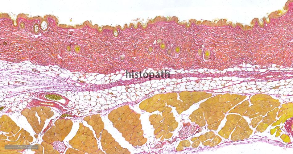
           1)光学显微镜观察结果:胶原纤维呈红色,细胞核呈棕褐色到黑色,肌纤维呈黄色。

           2)偏振光镜观察结果:Ⅰ型胶原纤维呈强橙黄色或亮红色,Ⅲ型胶原纤维呈绿色。


* 订单数量:

必须是数字

* 客户姓名:

不能为空

* 电子邮箱:

E-mail格式不对

* 手机:

手机号格式不对

* 详细地址:

不能为空

* 客户留言:

不能为空

服务热线

15157931817

微信服务号