特殊染色

TRAP染色

内容详情 在线咨询

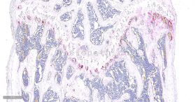
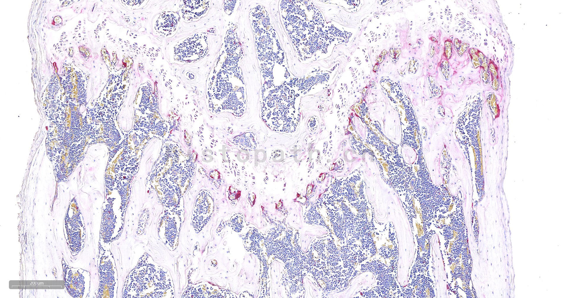
       TRAP染色:TRAP 染色是用于检测骨组织、骨细胞中特征物质的染色,使破骨细胞呈红色,背景呈绿色或蓝色。抗酒石酸酸性磷酸酶(TRAP)为破骨细朐的标志酶,特异地分布于破骨细胞中,为破骨细胞所特有,通常作为鉴别破骨细胞的重要标志物。在含酒石酸的酸性条件下,TRAP 能将萘酚 AS-BI磷酸盐水解,产生的萘酚 AS-BI 立即与 fast red 或六偶氮副品红结合,在酶活性部位形成不溶性的红色染料,通过观察红色染料的形成可间接了解酸性磷酸酶的活性,进一步鉴别及分析破骨细胞的状态。

      实验步骤:

(1)脱蜡至水:二甲苯Ⅰ5分钟,二甲苯Ⅱ5分钟,二甲苯Ⅲ5分钟,无水乙醇1分钟,95%乙醇1分钟,75%乙醇1分钟,自来水冲洗数秒。

(2)将切片用组化笔画圈后放在(加有一定量的放置切片蒸干的纯水)湿盒中,用纯水37°C孵育2h。

(3)切片孵育完成后倾去纯水,滴加过滤好的TRAP工作液覆盖组织,置于37°C避光反应20~30分钟。

(4)倾去孵育液并水洗,苏木素复染10s。

(5)脱水透明:75%乙醇1分钟,95%乙醇1分钟,无水乙醇1分钟,二甲苯3次,每次1-2分钟,中性树胶封固。

      染色结果:破骨细胞呈红色,背景呈绿色或蓝色。

* 订单数量:

必须是数字

* 客户姓名:

不能为空

* 电子邮箱:

E-mail格式不对

* 手机:

手机号格式不对

* 详细地址:

不能为空

* 客户留言:

不能为空

服务热线

15157931817

微信服务号