服务热线
15157931817
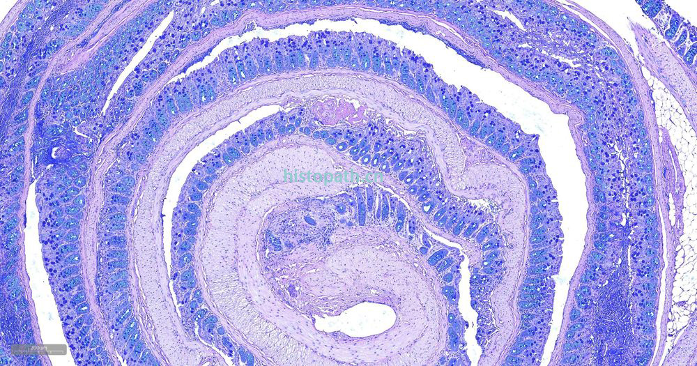
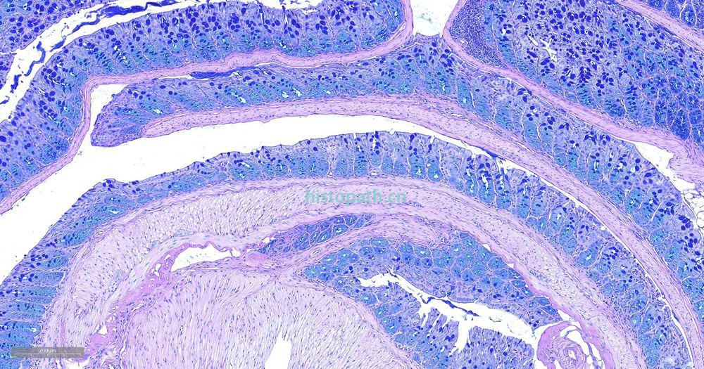
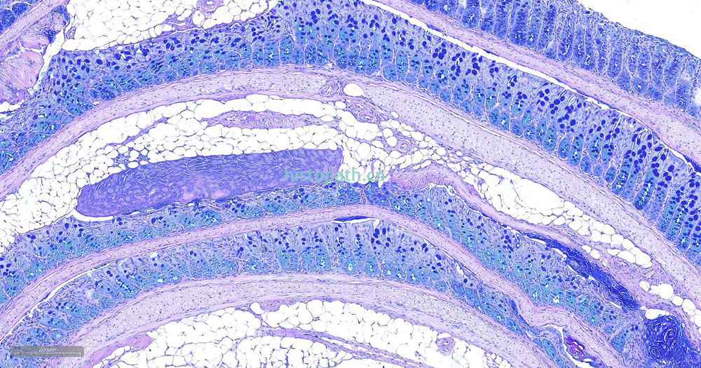
染色原理:
糖原染色是病理学中常规的染色方法之一,该法常用来显示糖原和其他多糖,该染色液不仅能够显示糖原,还能显示中性黏液性物质和某些酸性物质。
阿利新蓝和PAS技术联合使用可鉴别同一组织切片中的中性黏蛋白和酸性黏蛋白。这种技术也常用作广泛检测黏蛋白的手段。阿利新蓝可将唾液黏蛋白、硫黏蛋白和蛋白多糖染成蓝色。PAS技术可将中性黏蛋白染成深红/红紫色,同时将既含中性黏蛋白有含酸性黏蛋白的组织和细胞染成深浅不同的紫色,这是由于阿利新蓝与 Schiff试剂结合并反应。上述染色常可出现在含有中性黏蛋白和唾液黏蛋白的小肠杯状细胞中。
阿利新蓝是类铜钛花青染料,这种阳离子染料与酸性基团结合,也即阿利新蓝与组织内含有的阴离子基团如羧基和硫酸根形成不溶性复合物。分子中带正电荷的盐键与酸性黏蛋白多糖物质中带负电荷的酸性基团结合形成不溶性的复合物而呈蓝色,再与PAS进行复合染色,就能显示三种不同黏液物质成分。
染色步骤:
(1)脱蜡至水:二甲苯Ⅰ5分钟,二甲苯Ⅱ5分钟,二甲苯Ⅲ5分钟,无水乙醇1分钟,95%乙醇1分钟,75%乙醇1分钟,蒸馏水洗5分钟。
(2)滴加阿利新蓝染色液10-20分钟,蒸馏水洗3次,每次1-2分钟。
(3)放入氧化剂中进行氧化5分钟。自来水冲洗,蒸馏水浸洗2次。
(4)入Schiff染色液浸染10-20分钟。
(5)倾去Schiff染色液,流水冲洗10分钟。
(6)苏木素染色液染核1-2分钟,水洗。
(7)酸性分化液分化2-5秒,水洗。
(8)用Scott蓝化液返蓝3分钟,水洗3分钟。
(9)脱水透明:75%乙醇1分钟,95%乙醇1分钟,无水乙醇1分钟,二甲苯3次,每次1-2分钟,中性树胶封固。
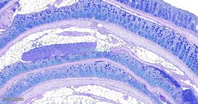
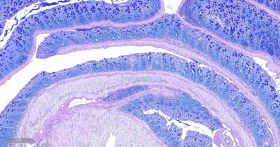
染色结果:

必须是数字
不能为空
E-mail格式不对
手机号格式不对
不能为空
不能为空