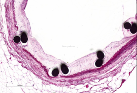
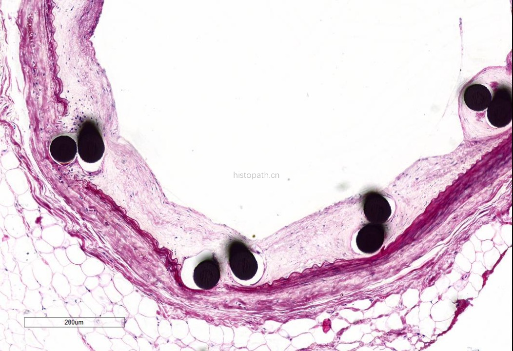
动脉支架

动脉支架

内容详情 在线咨询

使用德国EXAKT切磨系统进行硬组织切片,特别是对于含有金属这类植入物的组织,是一种精确的组织切片技术。

服务内容

1、样本分切

兔,犬,羊,猴等大动物含金属植入物骨、血管、牙齿等组织超过1cm的样本在浸润包埋前,均需用专门的设备进行分切成3mm左右的薄片后再进行后续操作,可以提高后期制片的成功率,带金属植体的样本分切困难,很容易因为植体硬度和样本硬度不一样,造成分切过程中组织损坏,所以需要专门设备进行分切。

2、样本包埋

各类尺寸的含金属植入物骨、牙齿、血管等硬组织样本脱水,7200树脂浸润包埋,后期用标准尺寸(25mm*75mm)的树脂片进行切磨片处理。

3、样本切片

将包埋好的硬组织树脂块,用EXAKT 硬组织切片机先切一个200um的厚片,然后再通过EXAKT 硬组织磨片机将其磨到20-30um薄片,样本是已经硬组织包埋好的含金属的动物样本。

具体步骤:包埋块修开切面抛光-平行粘片装置粘片-硬组织切片机切片-硬组织磨片机磨片抛光成片。

4、染色处理

针对不同的病理阅片指标需求,行HE染色、Masson染色、亚甲基蓝-酸性品红染色、VG染色、Movat染色等。

5、样本粘合

  滴入7210进行切片粘合。并压平以去除气泡。之后行镜检和扫描。


* 订单数量:

必须是数字

* 客户姓名:

不能为空

* 电子邮箱:

E-mail格式不对

* 手机:

手机号格式不对

* 详细地址:

不能为空

* 客户留言:

不能为空

服务热线

15157931817

微信服务号